视神经脊髓炎谱系疾病(Neuromyelitis optica spectrum disorders, NMOSD)是一种发生在中枢神经系统的自身免疫性炎性疾病,多发于亚洲青壮年女性患者,全球发病率低,2018年被国家首批罕见病目录纳入。NMOSD患者存在运动功能和视功能障碍,疾病负担重。目前已知补体系统激活是NMOSD发生发展过程中的重要致病机制之一,因此,近年来针对补体系统中各种关键分子的基础研究和临床试验一直备受关注,旨在为NMOSD的治疗寻找新靶点。
近日,中山大学附属第三医院脑病中心邱伟教授和汤常永副研究员团队在国际知名期刊Molecular Therapy(中科院一区,TOP期刊,IF=12.4)发表了题为“Inhibition of complement C3 signaling ameliorates locomotor and visual dysfunction in autoimmune inflammatory diseases”的研究论文。该研究通过临床数据收集、血液样本检测、转录组测序分析(RNA-seq)、细胞和组织免疫荧光染色等方法,多层次验证了补体C3信号在NMOSD患者和动物模型中被显著激活;而抑制补体C3信号通路的激活能够显著改善NMOSD动物模型中局部组织的典型病变及运动和视功能障碍。

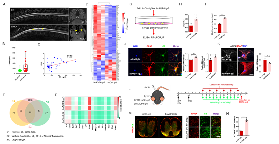
NMO-IgG刺激的星型胶质细胞显著增加C3的表达和分泌:该研究首先通过对NMOSD患者的血清进行Elisa检测,发现NMOSD患者血液中C3的活性分割产物C3a的含量较对照组显著升高,且与临床神经运动功能障碍相关评分(EDSS)成正相关(P=0.0008)(图1A-C);利用患者来源的纯化NMO-IgG处理星型胶质细胞进行RNA-seq测序分析,发现补体C3的表达显著上调(图1D-F);进一步通过检测NMOSD体外细胞及动物模型中C3的表达情况,确定了星型胶质细胞在NMO-IgG的刺激下显著增加C3的表达和分泌(图1G-N)。
图2 补体C3水平在NMOSD患者血液及动物模型中显著上升
抑制C3信号通路改善NMOSD小鼠的运动功能和病理改变:接着,该研究利用针对小鼠内源性C3转移酶激活的靶向抑制剂CR2-Crry蛋白,对NMOSD系统模型小鼠进行靶向治疗。结果发现:NMOSD组小鼠运动功能明显下降(疲劳转动棒和步态分析实验)(图2A-D)、脊髓运动神经元(NeuN)减少(图2E)、AQP4缺失(图2F)、髓鞘(MBP)破坏(图2G)、小胶质细胞(Iba1+CD68+)激活(图2H)、C3a和相关促炎因子(IL-1β、IL-6、TNF-α和C1q)大量释放(图2I)。而CR2-Crry治疗组的小鼠,上述病理改变和运动功能均较NMOSD疾病组小鼠得到明显改善。
图3 CR2-Crry减轻小鼠脊髓中NMOSD的典型病变并缓解相关的运动功能障碍
基于腺相关病毒(AAV2/9)靶向抑制C3信号通路,可改善NMOSD相关的视功能损害和视神经炎性病变:最后,该课题组构建了CR2-Crry过表达腺相关病毒(AAV2/9.CR2-Crry),利用NMOSD视神经局部模型,探究了抑制C3信号通路对NMOSD相关视功能障碍的作用。结果显示:相较于NMOSD疾病组,AAV2/9.CR2-Crry治疗组在视觉诱发电位(Visual evoked potentials, VEP)和视网膜电图(Electroretinography, ERG)中的视功能得到明显提高(图3);免疫荧光分析发现视网膜细胞和神经节细胞数量明显增加(图4A-D),AQP4和MBP的脱失减少(图4E-H),C3活性产物C3d的沉积减少(图4K);视神经组织电镜结果提示:AAV2/9.CR2-Crry显著减轻局部组织的髓鞘破坏(图4I-J)。
图4 AAV2/9.CR2-Crry改善NMOSD视神经局部大鼠模型的视功能损害
图5 AAV2/9.CR2-Crry减轻NMOSD视神经局部大鼠模型的视神经炎性损伤
图6 文章总结图
本研究从多层次确定了C3信号通路在NMOSD发生发展中的关键作用,抑制C3信号通路有效减轻了脊髓和视神经的炎性病变,并显著改善了动物模型的运动和视功能障碍。该研究结果不仅对深入认识补体介导的NMOSD发病机制及靶向C3信号通路的精准化治疗提供了理论依据,也为其他C3信号通路参与的自身免疫性疾病提供了新的研究靶点。
【声明】本文为转载文章,本平台仅作分享、传递信息,版权归原作者所有,如有侵权,请联系删除。