李新华教授:罕见病者不罕见,希望更多的同道关注罕见病,让罕见病者的人生充满关爱!

发布时间: 2023-04-11

  电话拨出,连线到新疆,中山大学附属喀什医院执行院长李新华教授热情打招呼的声音响起,他刚刚结束完当天的工作,得以抽出空闲接受采访,作为本期《罕路同行》的特邀嘉宾,他将跟我们分享多年来从事遗传代谢性肝病的临床工作心得。

 

图1.李新华教授

 

  李新华,医学博士、主任医师、博士研究生导师,中山大学附属喀什医院(国家区域医疗中心)执行院长,中山大学附属第三医院感染科副主任(疑难肝病亚专科),中山大学附属第三医院罕见病中心副主任,中华医学会肝病分会遗传代谢性肝病协作组委员,广东省医师协会肝病医师分会委员、疑难肝病专业组副组长,广州罕见病基因治疗联盟专家委员会委员。

罕见病误诊率高,专业科普与推广有助于改变现状

  “很多遗传代谢性肝病的致病基因其实已经明确了,如果早期诊断,正确治疗,部分病人的生活质量与预期寿命是与正常人差不多的。”李新华教授介绍到。

  但这是一个很理想的状态,受限于罕见病医生队伍的不足、患者筛查意识落后、药物的可及性低等问题,很多罕见病患者往往耽误了最佳治疗时机。

  “据我所知,目前国内做成人遗传代谢性肝病的医生团队很少,做儿童遗传代谢性肝病的医生团队会多一些,但也是屈指可数。”李新华教授长期致力于改变遗传代谢性肝病的诊疗现状。“一方面,我们需要培养更多既懂临床又懂遗传学的专业肝病医生,另一方面,我们也需要加大对社会群众的知识科普,获得更多的社会关注,双管齐下,让罕见病不罕知。”

  为了帮助更多医生了解遗传代谢性肝病,中华医学会肝病分会遗传代谢性肝病协作组特开设了《遗传代谢性肝病月报》栏目,发表于“肝胆相照平台”,李教授作为协作组委员,常与业内专家交流、分享心得,并于今年国际罕见病日在该平台主编了一期月报,聚焦罕见病,以帮助更多医生了解与遗传代谢性肝病有关的基因突变。“罕见病误诊很多时候是由于医生没有见过这个疾病,如果他们看到了这些分享,对罕见病有了一些认知,有一天他们遇到了罕见病患者,想起了这个疾病,那就能给患者带来实实在在的帮助。”

  此外,李教授还常带着团队成员一起撰写科普稿件、出义诊、做宣传,以期帮助更多患者早期筛查、早期诊断、尽早治疗,“只要能帮助一个病人早诊早治,我们做的这些工作就是有意义的。”

 

图2.李教授在喀什地区义诊

 

图3.李教授讲课科普肝豆状核变性

 

效果初显,越来越多医生开始关注罕见病

  事实证明这些科普工作是相当有意义的。李教授发现,经过宣传,越来越多医生开始关注罕见病。

  小何(化名)是成人Ⅱ型瓜氨酸血症(CTLN2)患者,一次偶然在工作中摔断了腿,不久后反复出现行为异常,严重时出现意识丧失。发病5年来,他辗转多家医院就诊,做了许多检查,仍旧无法确诊,给身心都造成了极大影响。一次发作昏迷后,小何被送到中山三院急诊科,会诊的感染科住院总医生觉得小何的症状虽然与肝性脑病类似,但检查结果又与肝性脑病不符,且以往病史证明按肝性脑病来治疗效果不佳,她想到之前曾听过李新华教授的一次讲课,怀疑小何可能是罕见病希特林蛋白缺乏症,遂联系了李教授会诊。

  李教授分析了小何的病例特点:成人起病,发作前摄入了高碳水化合物,人长得很瘦,却得了脂肪肝,没有终末期肝病表现而血氨却增高,血氨高而尿素氮不高,禁蛋白饮食疗效不好,结合外院及急诊科资料,临床诊断小何得的是CTLN2。据此,采取了不一样的治疗:停止含糖补液、补充脂肪乳及蛋白质、精氨酸静滴等治疗。入院当天晚上患者的神志就恢复了正常,可以自主交流。

 

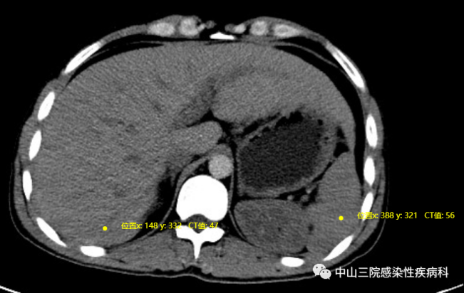
图4.腹部CT未见肝硬化或脾大,肝脏密度弥漫性降低(图源:中山三院感染科)

 

  随后小何的血尿质谱与基因检测结果出来,佐证了李教授的诊断:

  尿质谱分析:乳糖尿伴轻度糖尿,丝氨酸及苏氨酸比例颠倒;

  血质谱分析:瓜氨酸、谷氨酰胺、鸟氨酸、脯氨酸、丝氨酸、异戊烯酰基肉碱升高;

  遗传肝病相关基因组测序:存在SLC25A13 7q21.3 NM_014251.2 Exon9 c.853_855delTATG p. (Met285fs) 纯合突变。

  小何出院时,治疗团队对小何平日里的饮食作了指导:低碳水、高蛋白、高脂肪饮食,经过饮食治疗,辅以一些简单的药物,小何已恢复正常生活。

  李教授对小何首次发作的原因进行了分析:“在他摔断了腿的时候,医生在治疗时可能给他输了比较多的葡萄糖,或者在治疗期间摄入了过多碳水化合物引起的发作。”

热血援疆,在祖国的边疆推广肝豆状核变性的诊疗规范

  2021年5月13日,中山大学与新疆维吾尔自治区人民政府签署共建协议,以中山大学附属喀什医院为建设重点,建立传染病救治为主、多学科群支撑的南疆首个国家区域医疗中心。作为中山大学的附属医院,中山三院承担起了重任,派出感染性疾病科学科骨干在喀什驻点帮扶。2022年2月,感染科李新华教授接棒彭亮教授担任第二任执行院长推进国家区域医疗中心建设。“其实新疆的遗传代谢性肝病患者并不少,尤其是这边习惯用铜制器皿来盛食物,容易诱发肝豆状核变性。我们来到这里给大家做培训、做宣传,也是希望这里的医生在见到特殊的病例时慢慢能够有筛查罕见病的意识。由于经费有限,不能够做大规模筛查,但可以对高度怀疑的病例做重点筛查,或者这里的医生在患者就诊时能够意识到这是罕见病,将患者转诊到相关领域的专家处就诊,就能帮助患者减少很多求医的艰难。”

 

图5.中山大学附属喀什医院(国家区域医疗中心)

 

  2023年2月,中大三院感染性疾病科遗传代谢性肝病团队在Liver Research在线发表题为“A novel nomogram based on routine clinical indicators for screening for Wilson’s disease”的研究论文。该研究纳入了90例肝豆状核变性患者及128例肝功能异常的非肝豆状核变性患者的资料,使用6个临床上常用的指标构建了用于识别肝豆状核变性的预诊模型,可以帮助减少肝豆状核变性的漏诊误诊率。“像喀什地区市县级基层医院由于经费有限无法为患者提供较为昂贵的全外显子测序检测,使用该模型可以在一定程度上起到替代作用,帮助他们提高肝豆状核变性的诊断率。”

 

图6.研究论文在Liver Research在线发表

 

从一个课题,到一辈子的事业

  “治罕见病的医生比罕见病更罕见。”一方面,由于该领域少有医生涉及,在临床上遇到棘手的病例很难找到人指导,也没有大量的文献可供查询,常常只能“摸着石头过河”;另一方面,患者的数量少,做基因检测所需要的费用却高,申报研究课题时的难度就会加大;再则,患者群体少,对于科室的创收贡献也会降低,可谓“费力不讨好”,因此少有医生会选择这一方向,罕见病医生常常是带着情怀在坚持。

  李教授进入罕见病领域也是出于偶然。“我读研究生时候的导师张欣欣教授是一位知名的病毒学及肝病专家,她发现同样是乙肝病毒感染,不同患者的临床表现确可以很不一样,她认为单从病毒学方面难以解释,考虑跟患者的遗传背景有莫大的关系。因此在导师的安排下,我的研究课题从丙型肝炎病毒的研究转向感染性疾病的遗传易感性因素研究,慢慢地越做越偏,变成了遗传代谢性肝病的研究。这也跟当时上海肝病领域,很少有医生去做遗传代谢性肝病有关,病人找不到真正懂这一块的临床医生,但这方面的临床需求却实实在在的存在,而且很紧缺,所以我也就一直做了下来。我想即使我们现在还无法根治遗传病,但帮助病人找到他们发病的原因,指导产前诊断避免他们的下一代患病,也是具有重要意义的;同时我们也在不停地探索罕见病的规范化诊疗方案,出指南让更多医生知道怎么去诊断和管理罕见病;而且目前已经有多种遗传病的基因治疗开始进入临床试验,相信在不久的将来,遗传病也是可治愈的疾病,罕见病也就不罕治了。曙光在前,形势向好!也希望借此机会让更多的同道包括社会力量,更多地关注罕见病,让罕见病患者的人生充满关爱!”

《罕路同行》

  《罕路同行》访谈栏目由广州罕见病基因治疗联盟、南方医学网联合出品。栏目邀请多位罕见病领域的权威专家、科研人员、企业家等围绕着罕见病的最新研究、技术进展、临床防治等多方面进行访谈,为行业人士以及研究人员提供罕见病相关科普知识及前沿资讯,助力罕见病的诊疗进展。